Sindrome de Eagle
- 13 de jan. de 2025
- 1 min de leitura
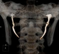
A Sindrome de Eagle é um diagnóstico difícil , mas que nós cirurgiões de Cabeça e Pescoço nos deparamos algumas vezes. Há 1 semana atrás no Ambulatório de Franca e hoje aqui no HC- Ribeirão Preto, em especial, atendi 1 caso muito parecido, com sintomatologias semelhantes. Uma dor inexplicável ao deglutir, uma dor no ouvido que não tem relação com infecção ou tumores, dor ao mobilizar a cabeça para o lado afetado e uma dor importante ao palpar a amigdala do mesmo lado. A causa geralmente se relaciona a um alongamento do processo estilóide e o exame que melhor mostra essa alteração é a Tomografia Computadorizada. Então fica a dica se vc está tendo algum sintoma para deglutir, uma dor inexplicável na faringe ou ouvido e já foram feitos exames para investigar outras causas e não se chegou a um diagnóstico. Procure uma avaliação para que seja feito um diagnóstico mais preciso. Lembrando que nem semopre um alongamento do processo estilóide em si é suficiente para causar a Sd de Eagle.
Mais informações: Management of Eagle Syndrome. Current Opinion in Otolaryngology & Head and neck Surgery, 2023.



Comentários